ペンタックス株式会社により出願された特許
1 - 10 / 1,878
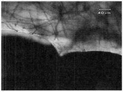
細胞培養用基材及び細胞培養方法
【課題】
三次元的・立体的に増殖させることができる新規な細胞培養手段を提供すること。
【解決手段】
本発明では、ハイドロキシアパタイトなどのリン酸カルシウム類を含有する繊維状シートからなる細胞培養用基材を提供する。この細胞培養用基材を用いて細胞培養を行うと、はじめは、繊維状シート及びその繊維枝を足場とし、細胞はその足場に付着して増殖するが、次第に、足場から離れた位置でも、細胞同士が接着することにより、三次元的・立体的に増殖しはじめ、最終的には、細胞培養用基材全体を覆うように細胞塊を形成する。即ち、この細胞培養用基材を用いる場合、細胞同士の接着により、細胞と足場が接していない部分でも増殖させることができるため、細胞を、三次元的・立体的に増殖させることができる。
(もっと読む)
移動装置
【課題】被駆動体を移動させる際の圧電体振動子の駆動開始からのタイムラグを少なくした移動装置を提供する。
【解決手段】移動装置は、圧電体振動子を備える。圧電体振動子に対して、伸縮モード振動を励起する第1交流電圧、及び屈曲モード振動を励起する第2交流電圧を印加する回路部を備える。回路部は、圧電体振動子の伸縮モード振動と屈曲モード振動に基づく楕円運動によって被駆動体を移動させるために、第1交流電圧を印加した時点t1の後であって、第1交流電圧の振幅が定常状態になる時点t3までの間に、第2交流電圧の印加を開始する。
(もっと読む)
電子内視鏡、および電子内視鏡システム
【課題】過電流検出用抵抗を設けることなく過電流を検出できるようにして、電源ラインの電圧降下を抑える。
【解決手段】撮像素子と、撮像素子に電源を供給する電源部と、電源部と撮像素子とを接続する電源ラインと、電源ラインにおけるノイズを除去するためのノイズ除去部と、ノイズ除去部による電圧降下を測定する電圧降下測定手段と、電圧降下測定手段による測定結果に応じて電源部による撮像素子に対する電源供給を制御する電源供給制御手段とを具備した電子内視鏡を提供する。
(もっと読む)
起立補助椅子
【課題】筋力の低下レベルあるいは障害のレベルに応じたきめ細かい起立制御を行うことができる起立補助椅子を得る。
【解決手段】座面後部を一様に上げ下げするという発想から離れ、座面を複数に分割した上で、分割座面の傾斜及び高さ位置を個別に制御することで、筋力の低下レベルあるいは障害のレベルに応じたきめ細かい起立制御を行うために、座部基体上に位置する座面を複数に分割し、これら複数の分割座面の傾斜及び高さ位置を変化させるアクチュエータを設けた。
(もっと読む)
撮像装置の除塵装置
【課題】 カメラの撮像面に付着する塵埃を除去するための除塵装置のノズル先端が撮像面に衝接することを確実に防止する。
【解決手段】 除塵装置1のハウジング筒12の正面開口内に光軸方向に移動可能に支持され、撮像面に対向配置される可動パッド16を備える。可動パッド16の除塵面161には空気吹出口163が開口され、この周囲にダンパ室162を備える。空気吹出口163から噴き出された空気は可動パッド16と撮像面323aとの間に通流し、撮像面に付着した塵埃を除去する。可動パッド16と撮像面323aとの間隙を流れる空気流のベンチュリ効果によって生じる負圧によって可動パッド16は撮像面側に移動されるが、ダンパ室162に生じる正圧により負圧が緩和され、可動パッド16が撮像面323aに衝突することはない。
(もっと読む)
レンズ鏡筒
【課題】 レンズ鏡筒の防滴・防水を図るとともにレンズのスムーズな移動を確保し、さらに最前レンズの表面に付着した塵埃を自動的に除去してレンズの清浄化を可能とする。
【解決手段】 光軸方向に移動可能なレンズを備えるレンズ鏡筒であって、被写体側に位置する最前レンズL1を保持する保持部材にレンズ鏡筒の内外を連通する光軸方向の通気孔217を備え、通気孔217の前側開口に対向する位置に、当該通気孔217を通してレンズ鏡筒の内部から外部に通流する空気を最前レンズL1の前面に向けて導く空気整流手段5,7を備える。レンズを光軸方向に移動したときに、レンズ鏡筒内から通気孔217を通して外部に吹き出された空気は空気整流手段5,7によって最前レンズL1のレンズ面に投射され、最前レンズL1のレンズ面に付着した塵埃を除去し、当該レンズ面を清浄化する。
(もっと読む)
内視鏡の鉗子栓
【課題】処置具挿通チャンネルを通じて体内汚液等による水撃作用があっても鉗子栓本体から蓋体が外れ難くて汚液等の噴出がなく、しかも蓋体を鉗子栓本体にスムーズに取り付けることができる内視鏡の鉗子栓を提供すること。
【解決手段】本体閉鎖膜16の裏側に位置する鉗子栓本体11内の空間35が、略ハート形の上半部の形状をその縦軸の周りに回転した回転体状に形成されて、そのハート形の凹部にあたる部分の壁が本体閉鎖膜16になっている。
(もっと読む)
超音波モータ
【課題】 超音波モータのステータとロータの圧接面での癒着を解消し、モータ始動時の立ち上がり特性を改善する。
【解決手段】 互いに圧接面で圧接するステータとロータとを備える超音波モータであって、ステータに設けられて円周方向に沿って分極した圧電体13に駆動用の高周波電圧を印加する駆動回路4の構成として、超音波モータの始動時に少なくとも周波数をランダムに変化させた高周波電圧を所定時間だけ生成する手段を備える。始動時にタイマー433によりセレクタ431でランダム発振器422の出力を選択し、出力器434からランダム高周波電圧RAMA,RAMBを圧電体13に印加する。圧電体13に不規則な振動が生起され、ステータとロータの圧接面間に当該不規則な振動が作用することになり、両圧接面の癒着を効果的に解消し、モータの回転立ち上がり特性が改善される。
(もっと読む)
像ブレ補正装置
【課題】光軸周りの回転ブレ補正時のブレ量検出センサの誤差成分を含んだ出力を軽減するブレ量検出装置を提供し、傾斜補正をも可能とする。
【解決手段】撮像装置のブレ量検出装置を使用した像ブレ補正装置は、撮像素子を備える。撮像素子の撮像面に光学像を結像させる撮像光学系の光軸に垂直な第1、第2検出軸方向の重力加速度成分を検出出力する加速度センサACCを備える。加速度センサACCからの出力に基づいて、ローリングによる撮像装置の光軸周りの傾斜角度を算出する傾斜量算出部(差動演算部)61を備える。
(もっと読む)
生体管路内処置デバイス
【課題】生体管路内への治療用物質の運搬や投与に際しての作業性に優れかつ低コストに得られる生体管路内処置デバイスを提供する。
【解決手段】筒状部と、該筒状部の外周面に膨縮可能に設けたバルーンと、該バルーンを膨縮させる膨縮手段とを備え、バルーンを収縮させた状態で生体管路に挿入され、膨縮手段によりバルーンを膨張させ生体管路内壁に圧接させて生体管路内に留置されることを特徴とした生体管路内処置デバイス。
(もっと読む)
1 - 10 / 1,878
[ Back to top ]


